Ultraschall im 1. Trimenon - Umfang und Inhalte
Ultraschall im Rahmen der gesetzlichen Mutterschaftsvorsorge-Richtlinie (Ultraschall I)
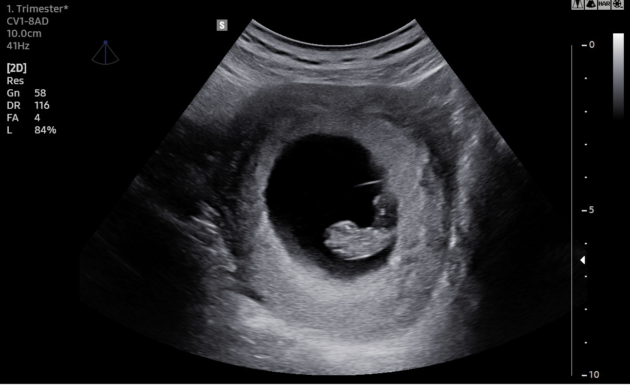
Es erfolgt neben der Feststellung des Schwangerschaftsalters und der Anzahl der Embryonen die Kontrolle des Herzschlages. Ein Organscreening ist erst in der 19.-22. SSW vorgesehen (Ultraschall II).

Früher Fehlbildungsultraschall
Schwerwiegende Fehlbildungen an Gehirn, Herz, Nieren oder Skelett können bereits früh erkannt bzw. früh ausgeschlossen werden und tragen somit zu einer deutlichen Reduktion von Sorgen und Ängsten bei.
Diese komplexe und fachlich anspruchsvolle Untersuchung erfordert einen hohen Erfahrungsumfang sowie eine exzellente Geräteausstattung. Der frühe Fehlbildungsultraschall beinhaltet die im Folgenden aufgeführten Teiluntersuchungen.
